Periodontal Tissue Bioengineering

Tobias Fretwurst, DDS, DMD; Lena Larsson, PhD; Shan Huey Yu, DDS; Sophia P. Pilipchuk, MS; Darnell Kaigler, DDS, MS, PhD; and William V. Giannobile, DDS, DMSc

December 2018 Course - Expires Friday, April 30th, 2021

Inside Dental Hygiene

Abstract

Periodontitis affects nearly half of the adult population in the United States and leads to tooth mobility, tooth loss, and periodontium destruction. Novel bioengineering has become an area of interest in dentistry, as various approaches aim to regenerate attachment apparatus around diseased teeth with the use of barriers, scaffolds, bone grafts, and biologics. This article emphasizes recent findings in the fields of stem cell/gene therapy, 3-dimensional printing, and innovative scaffold designs for future applications in clinical care.

You must be signed in to read the rest of this article.

Login Sign Up

Registration on CDEWorld is free. You may also login to CDEWorld with your DentalAegis.com account.

Periodontitis is a chronic inflammatory disease that can lead to alveolar bone destruction, attachment loss around natural teeth, and, ultimately, tooth mobility and loss. Current epidemiological studies report that up to 50% of the US adult population will develop periodontitis during their life span.1 Periodontitis is caused by oral bacteria colonizing the tooth surface, and in susceptible patients this will lead to inflammation in the soft tissues and loss of supporting bone.2,3 Efforts have been made to reconstruct periodontal and peri-implant bone defects as well as edentulous atrophic areas of alveolar bone. To achieve true periodontal regeneration, four basic elements are needed: sufficient blood supply, provisional extracellular matrices, bone- and ligament-forming cells, and molecular mediators.4 Only the combination of all these factors allows a sufficient regeneration of osseous and soft-tissue defects.

This review highlights current bioengineering approaches for periodontal regeneration and discusses gene and stem cell therapy, 3-dimensional (3D) printing, and innovative scaffold designs.

Current Bioengineering Approaches for Periodontal Regenerative Medicine

In the field of tissue bioengineering the disciplines of engineering and the life sciences are collectively brought together to advance tissue reconstruction.5 The goal of periodontal regenerative therapies is to restore the periodontal-supporting structures and their function. Current approaches for treatment of periodontal bone loss include the use of barriers, scaffolds, bone grafts, and biologics.6 A common periodontal regenerative technique involves guided bone/tissue regeneration (GBR/GTR), which is based on use of a barrier membrane to separate bone-forming cells from soft tissue. GBR membranes limit rapid-growing epithelial cells from infiltrating into the bone defects so that the periodontal ligament (PDL) cells can re-populate the site and form a PDL. In recent years, barriers have been used not only as physical barriers but also as delivery tools for active substances such as antibiotics and growth factors.7,8

Scaffolds, in turn, provide mechanical support to improve tissue regeneration and replace bone lost as a consequence to disease. The configuration of a scaffold needs to be designed to not only maintain the 3D structure but also display the appropriate degradation properties, promoting osteogenic mechanisms and blood vessel formation to generate blood supply to the newly formed tissue. In addition, the scaffold material chosen should stimulate proliferation and migration of the surrounding cells to form new tissue that is as similar to the native tissue as possible.

Bone replacement grafts are a type of scaffold that is commonly used clinically. Such bone grafts can be segmented into autogenous (from the same patient), allogenic (from an individual of the same species), xenogenic (from a different species), and synthetic/alloplastic, and are characterized by their osteoconductive, osteoinductive, and osteogenic properties.9,10 Scaffolds are commonly used in combination with a barrier or with biologics such as growth factors. They are also being used as carriers for cells such as bone-marrow stromal cells and stem cells, which are currently garnering a lot of interest.

The term biologics refers to mediators that are molecules with biological activity administered directly to the defect. Examples of biologics include growth factors, stem cells, and gene therapy agents. Growth factors bind to receptors on cell membranes and influence cellular functions, inducing tissue formation and bone regeneration. Examples of growth factors and biologics that have been used for periodontal regeneration are enamel matrix derivative (EMD), platelet-derived growth factor (PDGF), bone morphogenetic proteins (BMPs), vascular endothelial growth factor (VEGF), and transforming growth factor beta (TGF-β).7 The growth factors work locally at the site of delivery and influence the cells to promote tissue formation and produce new bone. Clinical trials have demonstrated the use of PDGF, fibroblast growth factor (FGF)-2, and other growth factors to promote regeneration.11,12

Emerging Therapies: Stem Cells and Gene Transfer

At present, there are several limitations associated with the use of biologics in bone defects to regenerate new tissue. These limitations include short half-life of growth factors, limited control over the release and distribution of the proteins, and possible rapid dilution of the protein concentration due to exposure to the intraoral environment.13 Gene therapy provides an option to deliver a biologic to the site of regeneration for an extended time period using genetically modified cells; this can overcome some of the limitations of the current use of biologics.14

Generally speaking, gene therapy is performed to enhance or influence cellular expression of a protein of interest (eg, PDGF, BMPs, and VEGF) using a vector that delivers the gene of the particular protein into cells and influences subsequent cell activity. These influences on cell activity may include increased cell migration, proliferation, and differentiation and matrix synthesis for an extended time period (Table 1).6 The transfecting vectors used to deliver the gene of interest into target cells can be classified as viral or nonviral vectors. The most widely used viral vectors in dentistry are adenoviruses, while the most common nonviral vector is plasmid DNA.15

Delivery of the modified cells can also be achieved with different techniques, such as direct delivery, systemic delivery, local delivery through a scaffold or matrix, or via 3D bioprinting (Table 1).6 BMP and VEGF are two of the most commonly tested growth factor genes that can be transfected into cells and promote healing of bone or regeneration of tissues.15 The use of an adenovirus-mediated gene delivery system to deliver BMP-7 to titanium surfaces has been demonstrated to exhibit higher differentiation and attachment ability of bone cells. These results indicate a potential use of the gene transfer method for implant osseointegration and bone regeneration.16

Cell therapy is a treatment for clinical conditions that introduces new cells into a defect to enhance tissue regeneration via either somatic cells or stem cells. Somatic cells comprise humans' internal organs, skin, bones, blood, and connective tissue, and, thus, these cells do not have the self-renewal and differentiation potential that stem cells have.17 Hence, stem cell therapy has been utilized more widely for enhancing tissue regeneration, as it promotes formation of both hard and soft tissues.18-20 Stem cells can be harvested from different sources, including bone marrow, fat tissue, dental pulp, or PDL, and recent work in this area has focused on the use of pluripotent stem cells (iPSCs), bone repair cells (also termed ixmyelocel-T), and periosteum-derived cells to induce tissue regeneration.

Recently, ixmyelocel-T stem cells were evaluated in a randomized, controlled clinical trial to evaluate sinus floor augmentation with transplantation of autologous cells enriched with stem cells. Ixmyelocel-T is derived from enriched CD90+ and CD14+ bone marrow-derived cell populations and carries a unique expression of markers for tissue repair and regeneration.20 Patients with maxillary sinus bone deficiencies who needed sinus lifting procedures prior to dental implant therapy were allocated to receive either stem cells delivered on a β-tricalcium phosphate scaffold or the scaffold alone. Four months after the surgery, findings from histology and cone-beam computed tomography (CBCT) analyses indicated that stem cell therapy yielded better regenerated bone quality than standard-of-care matrix alone (Figure 1 and Figure 2).20 By targeting specific signaling pathways, oral tissue regenerative outcomes may be improved through delivery of stem cells to increase bone regeneration.

Three-dimensional Printing and Innovative Scaffold Design

Three-dimensional printing, also referred to as additive manufacturing, allows for the use of a variety of materials, including metals and polymers, to create 3D structures with defined geometries.21 Formation of 3D constructs is achieved via printing with inkjet, laser-assisted, or extrusion-based techniques, with variability in the use of selected materials and final resolution capabilities. Designs generated for 3D printing are developed from computer-aided design (CAD) software or clinical radiographic images scanned using computed tomography (CT) or magnetic resonance imaging (MRI). Although the most common approach has been to use synthetic polymers to generate material "scaffolds," most recently bioprinting has allowed for direct printing of living cells in combination with materials-increasing the complexity of these constructs yet improving their biological properties.21,22

Synthetic polymers such as polycaprolactone (PCL) and poly-L-lactic acid (PLA) can be combined with natural polymers such as hydroxyapatite and β-tricalcium phosphate to allow the formation of biphasic constructs with tailored mechanical properties and rates of degradation. Recently, a first-in-human case report of a custom-designed, 3D-printed PCL scaffold for the treatment of a large periodontal defect was reported in combination with PDGF administration (Figure 3 through Figure 20).23 The scaffold was fabricated using selective laser sintering, which allowed for material powder to be fused together to form a structure based on a CAD file of the scaffold that was designed from CBCT scans of the patient defect. This novel approach offers a promising future application of 3D printing for customized scaffold designs that can be tailored to meet patient-specific needs based on defect site and location, with the added ability to deliver growth factors.

In addition to a diverse selection of materials that can be used for 3D printing of scaffolds, the macro- and microstructure of scaffolds is especially critical to ensuring proper tissue guidance and formation. This guidance can be achieved in the development of the scaffold architecture by incorporating microgrooves for intended alignment of PDL tissues.24 Three-dimensional-printed materials with a specific focus on bone regeneration have been more prevalent in oral-based tissue engineering applications. Scaffold porosity is especially relevant in the design and fabrication of these constructs, as it is critical for ensuring adequate micro-architecture for tissue ingrowth at the defect site, in addition to proper vascularization and a tailored rate of biodegradation. Three-dimensional printing technology can further help customize pore size, morphology, and interconnectivity. These scaffold designs have high potential for use in dental applications at load-bearing sites.

Given that the periodontium is comprised of multiple tissues, it is appropriate to use 3D-printed constructs that have defined areas for bone and PDL tissue regeneration. Such materials include both biphasic and triphasic scaffold constructs, which have areas for the cementum/dentin interface, as well as the PDL/alveolar bone interface.25-28 Another advantage of compartmentalizing these scaffolds is that each compartment can be used to deliver cells (eg, dental, PDL, and bone stem/progenitor cells), and/or growth factors such as PDGF or BMP.

Future Directions

Over the past decade, important advances have been made in bioengineering for oral and periodontal tissue regeneration using biologics, cell therapy, and, more recently, scaffold design using 3D printing. The future holds great promise as these regenerative technologies increasingly enter the human clinical trial arena, and, undoubtedly, some of these innovations will reach clinical practice for the betterment of dental patients.

Acknowledgments

The work was supported by National Institutes of Health (NIH) DE 13397. Dr. Fretwurst was supported by a Research Scholarship of the Osteology Foundation, Lucerne, Switzerland. Dr. Pilipchuk was supported by a National Science Foundation Grant (NSF-GRFP DGE1256260). Dr. Kaigler was supported by a National Institute of Dental and Craniofacial Research (NIDCR)/NIH Grant (R56DE025097).

About the Authors

Tobias Fretwurst, DDS, DMD
Department of Periodontics and Oral Medicine, University of Michigan, School of Dentistry, Ann Arbor, Michigan; Department of Oral and Craniomaxillofacial Surgery, Center for Dental Medicine, University Medical Center Freiburg, Freiburg, Germany

Lena Larsson, PhD
Department of Periodontics and Oral Medicine, University of Michigan, School of Dentistry, Ann Arbor, Michigan; Department of Periodontology, Institute of Odontology, University of Gothenburg, Gothenburg, Sweden

Shan Huey Yu, DDS
Department of Periodontics and Oral Medicine, University of Michigan, School of Dentistry, Ann Arbor, Michigan

Sophia P. Pilipchuk, PhD
Department of Periodontics and Oral Medicine, University of Michigan, School of Dentistry, Ann Arbor, Michigan; Department of Biomedical Engineering, College of Engineering, University of Michigan, Ann Arbor, Michigan

Darnell Kaigler, DDS, MS, PhD
Department of Periodontics and Oral Medicine, University of Michigan, School of Dentistry, Ann Arbor, Michigan

William V. Giannobile, DDS, DMSc
Department of Periodontics and Oral Medicine, University of Michigan, School of Dentistry, Ann Arbor, Michigan; Department of Biomedical Engineering, College of Engineering, University of Michigan, Ann Arbor, Michigan

Queries to the author regarding this course may be submitted to authorqueries@aegiscomm.com.

References

1. Eke PI, Dye BA, Wei L, et al. Prevalence of periodontitis in adults in the United States: 2009 and 2010. J Dent Res. 2012;91(10):914-920.

2. Page RC, Kornman KS. The pathogenesis of human periodontitis: an introduction. Periodontol 2000. 1997;1;14(1):9-11.

3. Burt B; Research, Science and Therapy Committee of the American Academy of Periodontology. Position paper: epidemiology of periodontal diseases. J Periodontol. 2005;76(8):1406-1419.

4. Kaigler D, Avila G, Wisner-Lynch L, et al. Platelet-derived growth factor applications in periodontal and peri-implant bone regeneration. Expert Opin Biol Ther. 2011;11(3):375-385.

5. Mao AS, Mooney DJ. Regenerative medicine: current therapies and future directions. Proc Natl Acad Sci U S A. 2015;112(47):14452-14459.

6. Larsson L, Decker AM, Nibali L, et al. Regenerative medicine for periodontal and peri-implant diseases. J Dent Res. 2016;95(3):255-266.

7. Pilipchuk SP, Plonka AB, Monje A, et al. Tissue engineering for bone regeneration and osseointegration in the oral cavity. Dent Mater. 2015;31(4):317-338.

8. Lin Z, Rios HF, Cochran DL. Emerging regenerative approaches for periodontal reconstruction: a systematic review from the AAP Regeneration Workshop. J Periodontol. 2015;86(2 suppl):S134-S152.

9. Fretwurst T, Gad LM, Nelson K, Schmelzeisen R. Dentoalveolar reconstruction: modern approaches. Curr Opin Otolaryngol Head Neck Surg. 2015;23(4):316-322.

10. Kao RT, Nares S, Reynolds MA. Periodontal regeneration - intrabony defects: a systematic review from the AAP Regeneration Workshop. J Periodontol. 2015;86(2 suppl):S77-S104.

11. Nevins M, Kao RT, McGuire MK, et al. Platelet-derived growth factor promotes periodontal regeneration in localized osseous defects: 36-month extension results from a randomized, controlled, double-masked clinical trial. J Periodontol. 2013;84(4):456-464.

12. Cochran DL, Oh TJ, Mills MP, et al. A randomized clinical trial evaluating rh-FGF-2/β-TCP in periodontal defects. J Dent Res. 2016;95(5):
523-530.

13. Kaigler D, Cirelli JA, Giannobile WV. Growth factor delivery for oral and periodontal tissue engineering. Expert Opin Drug Deliv. 2006;3(5):647-662.

14. Ramseier CA, Abramson ZR, Jin Q, Giannobile WV. Gene therapeutics for periodontal regenerative medicine. Dent Clin North Am. 2006;50(2):245-263.

15. Lu CH, Chang YH, Lin SY, et al. Recent progresses in gene delivery-based bone tissue engineering. Biotechnol Adv. 2013;31(8):1695-1706.

16. Hao J, Cheng KC, Kruger LG, et al. Multigrowth factor delivery via immobilization of gene therapy vectors. Adv Mater. 2016;28(16):3145-3151.

17. Polymeri A, Giannobile WV, Kaigler D. Bone marrow stromal stem cells in tissue engineering and regenerative medicine. Horm Metab Res. 2016;48(11):700-713.

18. McGuire MK, Scheyer ET, Nevins ML, et al. Living cellular construct for increasing the width of keratinized gingiva: results from a randomized, within-patient, controlled trial. J Periodontol. 2011;82(10):1414-1423.

19. Kaigler D, Pagni G, Park CH, et al. Stem cell therapy for craniofacial bone regeneration: a randomized, controlled feasibility trial. Cell Transplant. 2013;22(5):767-777.

20. Kaigler D, Avila-Ortiz G, Travan S, et al. Bone engineering of maxillary sinus bone deficiencies using enriched CD90+ stem cell therapy: a randomized clinical trial. J Bone Miner Res. 2015;30(7):1206-1216.

21. Obregon F, Vaquette C, Ivanovski S, et al. Three-dimensional bioprinting for regenerative dentistry and craniofacial tissue engineering. J Dent Res. 2015;94(9 suppl):143S-152S.

22. Shafiee A, Atala A. Printing technologies for medical applications. Trends Mol Med. 2016;22(3):254-265.

23. Rasperini G, Pilipchuk SP, Flanagan CL, et al. 3D-printed bioresorbable scaffold for periodontal repair. J Dent Res. 2015;94(9 suppl):153S-157S.

24. Park CH, Rios HF, Taut AD, et al. Image-based, fiber guiding scaffolds: a platform for regenerating tissue interfaces. Tissue Eng Part C Methods. 2014;20(7):533-542.

25. Lee CH, Hajibandeh J, Suzuki T, et al. Three-dimensional printed multiphase scaffolds for regeneration of periodontium complex. Tissue Eng Part A. 2014;20(7-8):1342-1351.

26. Park CH, Rios HF, Jin Q, et al. Biomimetic hybrid scaffolds for engineering human tooth-ligament interfaces. Biomater. 2010;31(23):5945-5952.

27. Costa PF, Vaquette C, Zhang Q, et al. Advanced tissue engineering scaffold design for regeneration of the complex hierarchical periodontal structure. J Periodontol. 2014;41(3):283-294.

28. Ivanovski S, Vaquette C, Gronthos S, et al. Multi-phasic scaffolds for periodontal tissue regeneration. J Dent Res. 2014;93(12):1212-1221.

Table 1

Table 1

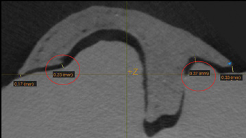
Fig 1. Representative images of 3D reconstructions of the maxillary sinus cavity of the skull show the bone volume that was grafted (blue areas) in the control (Fig 1) and stem cell therapy (Fig 2) groups in bony defects. Histological and corresponding micro CT images of bone biopsies harvested from the grafted regions of the two groups show a greater degree of mineralized bone tissue in the stem cell therapy group (Fig 2). (Images reprinted with permission from Kaigler D, Avila-Ortiz G, Travan S, et al. J Bone Miner Res. 2015;30[7]:1206-1216.)

Figure 1

Fig 2. Representative images of 3D reconstructions of the maxillary sinus cavity of the skull show the bone volume that was grafted (blue areas) in the control (Fig 1) and stem cell therapy (Fig 2) groups in bony defects. Histological and corresponding micro CT images of bone biopsies harvested from the grafted regions of the two groups show a greater degree of mineralized bone tissue in the stem cell therapy group (Fig 2). (Images reprinted with permission from Kaigler D, Avila-Ortiz G, Travan S, et al. J Bone Miner Res. 2015;30[7]:1206-1216.)

Figure 2

Fig 3. A 3D printed scaffold was designed using CAD software to fit a peri-osseous defect in a human patient. The scaffold consisted of a region with channels designed to support oriented PDL tissue formation and a region for the regeneration of osseous tissue. Fig 3: baseline; 
Fig 4: defect model; Fig 5 through Fig 7: internal, tilted, and side views of scaffold, respectively; Fig 8 through Fig 10: coronal, middle, and apical 
angles, respectively; Fig 11: cross-section diagram; Fig 12: labial scan image. (Images reprinted with permission from Rasperini G, Pilipchuk SP, Flanagan CL, et al. J Dent Res. 2015;94[9 suppl]:153S-157S.)

Figure 3

Fig 4. A 3D printed scaffold was designed using CAD software to fit a peri-osseous defect in a human patient. The scaffold consisted of a region with channels designed to support oriented PDL tissue formation and a region for the regeneration of osseous tissue. Fig 3: baseline; 
Fig 4: defect model; Fig 5 through Fig 7: internal, tilted, and side views of scaffold, respectively; Fig 8 through Fig 10: coronal, middle, and apical 
angles, respectively; Fig 11: cross-section diagram; Fig 12: labial scan image. (Images reprinted with permission from Rasperini G, Pilipchuk SP, Flanagan CL, et al. J Dent Res. 2015;94[9 suppl]:153S-157S.)

Figure 4

Fig 5. A 3D printed scaffold was designed using CAD software to fit a peri-osseous defect in a human patient. The scaffold consisted of a region with channels designed to support oriented PDL tissue formation and a region for the regeneration of osseous tissue. Fig 3: baseline; 
Fig 4: defect model; Fig 5 through Fig 7: internal, tilted, and side views of scaffold, respectively; Fig 8 through Fig 10: coronal, middle, and apical 
angles, respectively; Fig 11: cross-section diagram; Fig 12: labial scan image. (Images reprinted with permission from Rasperini G, Pilipchuk SP, Flanagan CL, et al. J Dent Res. 2015;94[9 suppl]:153S-157S.)

Figure 5

Fig 6. A 3D printed scaffold was designed using CAD software to fit a peri-osseous defect in a human patient. The scaffold consisted of a region with channels designed to support oriented PDL tissue formation and a region for the regeneration of osseous tissue. Fig 3: baseline; 
Fig 4: defect model; Fig 5 through Fig 7: internal, tilted, and side views of scaffold, respectively; Fig 8 through Fig 10: coronal, middle, and apical 
angles, respectively; Fig 11: cross-section diagram; Fig 12: labial scan image. (Images reprinted with permission from Rasperini G, Pilipchuk SP, Flanagan CL, et al. J Dent Res. 2015;94[9 suppl]:153S-157S.)

Figure 6

Fig 7. A 3D printed scaffold was designed using CAD software to fit a peri-osseous defect in a human patient. The scaffold consisted of a region with channels designed to support oriented PDL tissue formation and a region for the regeneration of osseous tissue. Fig 3: baseline; 
Fig 4: defect model; Fig 5 through Fig 7: internal, tilted, and side views of scaffold, respectively; Fig 8 through Fig 10: coronal, middle, and apical 
angles, respectively; Fig 11: cross-section diagram; Fig 12: labial scan image. (Images reprinted with permission from Rasperini G, Pilipchuk SP, Flanagan CL, et al. J Dent Res. 2015;94[9 suppl]:153S-157S.)

Figure 7

Fig 8. A 3D printed scaffold was designed using CAD software to fit a peri-osseous defect in a human patient. The scaffold consisted of a region with channels designed to support oriented PDL tissue formation and a region for the regeneration of osseous tissue. Fig 3: baseline; 
Fig 4: defect model; Fig 5 through Fig 7: internal, tilted, and side views of scaffold, respectively; Fig 8 through Fig 10: coronal, middle, and apical 
angles, respectively; Fig 11: cross-section diagram; Fig 12: labial scan image. (Images reprinted with permission from Rasperini G, Pilipchuk SP, Flanagan CL, et al. J Dent Res. 2015;94[9 suppl]:153S-157S.)

Figure 8

Fig 9. A 3D printed scaffold was designed using CAD software to fit a peri-osseous defect in a human patient. The scaffold consisted of a region with channels designed to support oriented PDL tissue formation and a region for the regeneration of osseous tissue. Fig 3: baseline; 
Fig 4: defect model; Fig 5 through Fig 7: internal, tilted, and side views of scaffold, respectively; Fig 8 through Fig 10: coronal, middle, and apical 
angles, respectively; Fig 11: cross-section diagram; Fig 12: labial scan image. (Images reprinted with permission from Rasperini G, Pilipchuk SP, Flanagan CL, et al. J Dent Res. 2015;94[9 suppl]:153S-157S.)

Figure 9

Fig 10. A 3D printed scaffold was designed using CAD software to fit a peri-osseous defect in a human patient. The scaffold consisted of a region with channels designed to support oriented PDL tissue formation and a region for the regeneration of osseous tissue. Fig 3: baseline; 
Fig 4: defect model; Fig 5 through Fig 7: internal, tilted, and side views of scaffold, respectively; Fig 8 through Fig 10: coronal, middle, and apical 
angles, respectively; Fig 11: cross-section diagram; Fig 12: labial scan image. (Images reprinted with permission from Rasperini G, Pilipchuk SP, Flanagan CL, et al. J Dent Res. 2015;94[9 suppl]:153S-157S.)

Figure 10

Fig 11. A 3D printed scaffold was designed using CAD software to fit a peri-osseous defect in a human patient. The scaffold consisted of a region with channels designed to support oriented PDL tissue formation and a region for the regeneration of osseous tissue. Fig 3: baseline; 
Fig 4: defect model; Fig 5 through Fig 7: internal, tilted, and side views of scaffold, respectively; Fig 8 through Fig 10: coronal, middle, and apical 
angles, respectively; Fig 11: cross-section diagram; Fig 12: labial scan image. (Images reprinted with permission from Rasperini G, Pilipchuk SP, Flanagan CL, et al. J Dent Res. 2015;94[9 suppl]:153S-157S.)

Figure 11

Fig 12. A 3D printed scaffold was designed using CAD software to fit a peri-osseous defect in a human patient. The scaffold consisted of a region with channels designed to support oriented PDL tissue formation and a region for the regeneration of osseous tissue. Fig 3: baseline; 
Fig 4: defect model; Fig 5 through Fig 7: internal, tilted, and side views of scaffold, respectively; Fig 8 through Fig 10: coronal, middle, and apical 
angles, respectively; Fig 11: cross-section diagram; Fig 12: labial scan image. (Images reprinted with permission from Rasperini G, Pilipchuk SP, Flanagan CL, et al. J Dent Res. 2015;94[9 suppl]:153S-157S.)

Figure 12

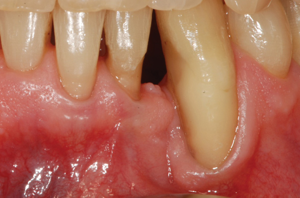
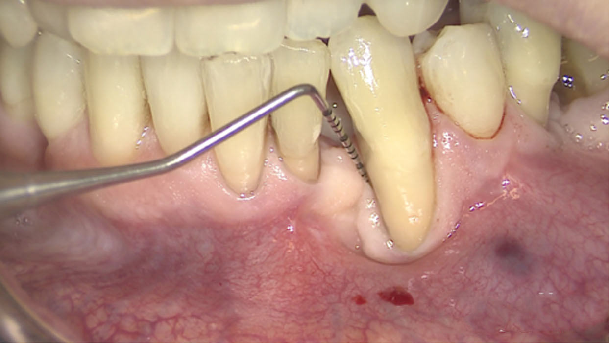
Fig 13. The scaffold was placed in the defect, where it remained for approximately 1 year. Fig 13: baseline; Fig 14: defect; Fig 15: scaffold matrix; Fig 16: scaffold placement; Fig 17: wound closure; Fig 18 through Fig 20: 2-month, 6-month, and 1-year postoperative, respectively. (Images reprinted with permission from Rasperini G, Pilipchuk SP, Flanagan CL, et al. J Dent Res. 2015;94[9 suppl]:153S-157S.)

Figure 13

Fig 14. The scaffold was placed in the defect, where it remained for approximately 1 year. Fig 13: baseline; Fig 14: defect; Fig 15: scaffold matrix; Fig 16: scaffold placement; Fig 17: wound closure; Fig 18 through Fig 20: 2-month, 6-month, and 1-year postoperative, respectively. (Images reprinted with permission from Rasperini G, Pilipchuk SP, Flanagan CL, et al. J Dent Res. 2015;94[9 suppl]:153S-157S.)

Figure 14

Fig 15. The scaffold was placed in the defect, where it remained for approximately 1 year. Fig 13: baseline; Fig 14: defect; Fig 15: scaffold matrix; Fig 16: scaffold placement; Fig 17: wound closure; Fig 18 through Fig 20: 2-month, 6-month, and 1-year postoperative, respectively. (Images reprinted with permission from Rasperini G, Pilipchuk SP, Flanagan CL, et al. J Dent Res. 2015;94[9 suppl]:153S-157S.)

Figure 15

Fig 16. The scaffold was placed in the defect, where it remained for approximately 1 year. Fig 13: baseline; Fig 14: defect; Fig 15: scaffold matrix; Fig 16: scaffold placement; Fig 17: wound closure; Fig 18 through Fig 20: 2-month, 6-month, and 1-year postoperative, respectively. (Images reprinted with permission from Rasperini G, Pilipchuk SP, Flanagan CL, et al. J Dent Res. 2015;94[9 suppl]:153S-157S.)

Figure 16

Fig 17. The scaffold was placed in the defect, where it remained for approximately 1 year. Fig 13: baseline; Fig 14: defect; Fig 15: scaffold matrix; Fig 16: scaffold placement; Fig 17: wound closure; Fig 18 through Fig 20: 2-month, 6-month, and 1-year postoperative, respectively. (Images reprinted with permission from Rasperini G, Pilipchuk SP, Flanagan CL, et al. J Dent Res. 2015;94[9 suppl]:153S-157S.)

Figure 17

Fig 18. The scaffold was placed in the defect, where it remained for approximately 1 year. Fig 13: baseline; Fig 14: defect; Fig 15: scaffold matrix; Fig 16: scaffold placement; Fig 17: wound closure; Fig 18 through Fig 20: 2-month, 6-month, and 1-year postoperative, respectively. (Images reprinted with permission from Rasperini G, Pilipchuk SP, Flanagan CL, et al. J Dent Res. 2015;94[9 suppl]:153S-157S.)

Figure 18

Fig 19. The scaffold was placed in the defect, where it remained for approximately 1 year. Fig 13: baseline; Fig 14: defect; Fig 15: scaffold matrix; Fig 16: scaffold placement; Fig 17: wound closure; Fig 18 through Fig 20: 2-month, 6-month, and 1-year postoperative, respectively. (Images reprinted with permission from Rasperini G, Pilipchuk SP, Flanagan CL, et al. J Dent Res. 2015;94[9 suppl]:153S-157S.)

Figure 19

Fig 20. The scaffold was placed in the defect, where it remained for approximately 1 year. Fig 13: baseline; Fig 14: defect; Fig 15: scaffold matrix; Fig 16: scaffold placement; Fig 17: wound closure; Fig 18 through Fig 20: 2-month, 6-month, and 1-year postoperative, respectively. (Images reprinted with permission from Rasperini G, Pilipchuk SP, Flanagan CL, et al. J Dent Res. 2015;94[9 suppl]:153S-157S.)

Figure 20

CREDITS: 0
AGD CODE: 490 - Periodontics
COST: $0
PROVIDER: Conexiant Education
SOURCE: Compendium of Continuing Education in Dentistry | December 2018

Learning Objectives:

  • Discuss current bioengineering approaches for oral/periodontal regenerative medicine
  • Describe the benefits of emerging therapies such as gene and stem cell therapy
  • Summarize requirements for 3-dimensional printing materials for clinical application

Disclosures:

The author reports no conflicts of interest associated with this work.

Queries for the author may be directed to justin.romano@broadcastmed.com.