Collaboration Between the General Dentist and Orthodontist: An Essential Partnership to Ensure Orthodontic Success

Daniel Bills, DMD, MS

December 2019 RN - Expires Saturday, December 31st, 2022

Compendium of Continuing Education in Dentistry

Abstract

Orthodontic therapy can significantly improve a patient’s quality of life in a number of ways. Benefits of orthodontic therapy include a beautiful smile, increased self-confidence, and better overall dental and periodontal health. Collaboration and communication between the general dental team and the orthodontic team are essential elements to ensuring successful outcomes for orthodontic patients. This partnership starts from the time of the initial referral and continues through the retention stage of treatment when all tooth movement is complete. This overview article describes keys to implementing and executing a team-oriented approach towards orthodontic treatment.

You must be signed in to read the rest of this article.

Login Sign Up

Registration on CDEWorld is free. You may also login to CDEWorld with your DentalAegis.com account.

Typically, the general dentist is the first line of defense against a patient’s developing malocclusion. This unique “gatekeeper” role is a significant responsibility that should not be underestimated or taken for granted. In order to ensure that patients of all ages receive the optimal orthodontic care at the appropriate time, the initial referral of the patient to the orthodontic specialist is of utmost importance.

The Orthodontic Referral

When to Refer

The American Association of Orthodontists recommends an orthodontic screening by age 7, or even earlier if a parent or a dentist discerns a problem.1 By this age, several permanent teeth in most children have erupted, allowing the orthodontist to effectively evaluate the orthodontic condition. The vast majority of 7-year-olds do not require orthodontic intervention. However, for the small percentage of those who do, if the problem is not discovered in a timely fashion, it may be difficult, if not impossible, to treat later in life. In addition, permanent and/or irreversible damage may already have been done (Figure 1). It is with this in mind that many orthodontic offices offer complimentary or minimally priced examinations and consultations to their patients, thus ensuring that no orthodontic problem is overlooked.

Most discussions about when to refer patients to an orthodontic specialist tend to focus solely on children; however, many adults can benefit from orthodontic therapy. The time to refer these adult patients is as soon as any significant tooth misalignment, crowding, or bite issues are discovered during a dental examination. The benefits on long-term oral health of having straight teeth in proper occlusion are well documented.2 Many patients view orthodontics simply as a cosmetic procedure and often are only made aware of the periodontal, functional, and pre-prosthetic benefits when these benefits are discussed by an astute general dentist and the patients appropriately referred.

Reasons to Refer

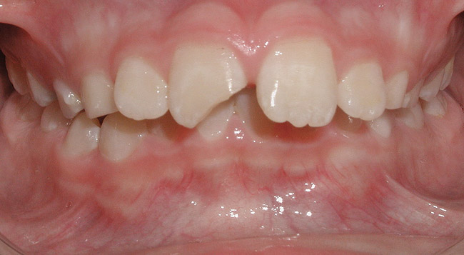
Although most orthodontic treatment begins between the ages of 9 and 14,1 a number of problems are most effectively treated at an earlier age, as delineated in Table 1. Although it is outside the scope of this article to discuss in detail each item listed, the case of excessive protrusion of upper incisors provides insight into the importance of referring patients to the orthodontist in a timely fashion. According to Proffit, there is an approximately 33% chance that a patient with excessive overjet will experience trauma to the upper incisors (Figure 2), thus a prompt referral is essential to greatly decrease the risk of potential trauma.2

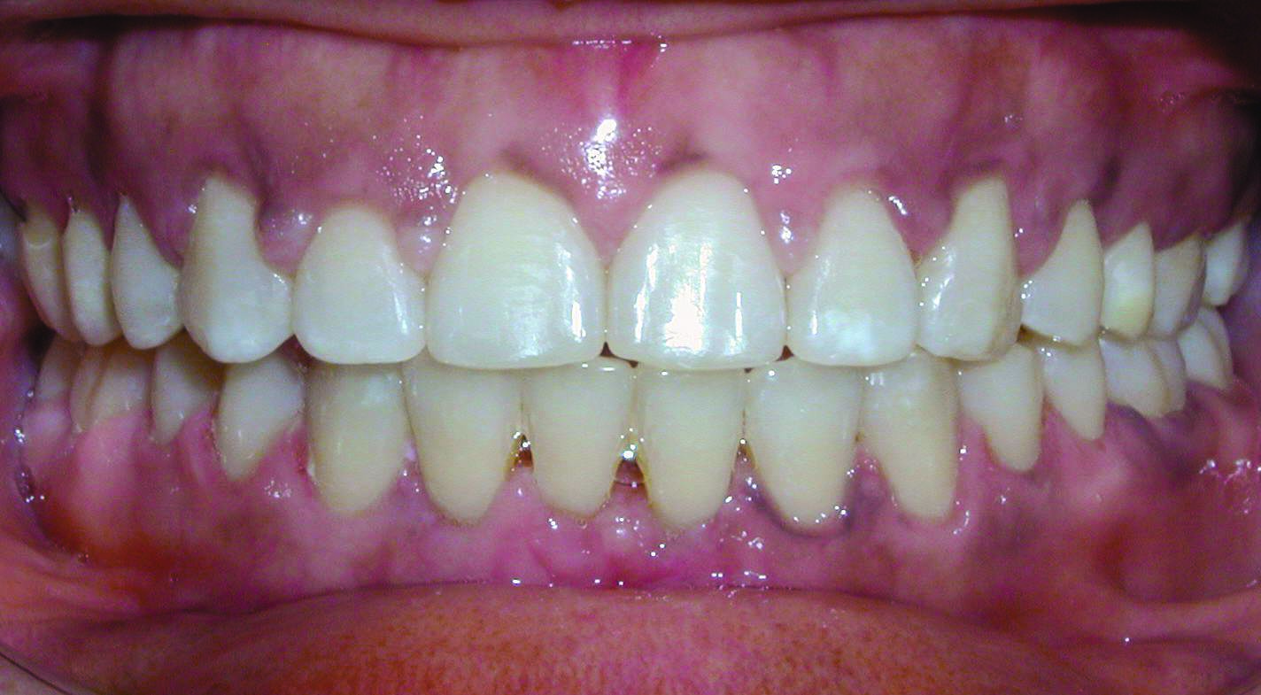
As treatment mechanics and esthetic appliances have improved and treatment times have decreased, orthodontic treatment for adults has risen. Before initiating any prosthetic work, all occlusal issues or esthetic orthodontic concerns should be addressed. Hence, many dentists refer a patient for a complete orthodontic work-up and necessary treatment prior to initiating prosthetic work. Few things are more frustrating for patients than seeing an orthodontist after having a bridge done or implants placed only to learn that their new dental work cannot be moved and, therefore, their malocclusion cannot be fully corrected. In addition, with the aid of low-force and low-friction options that now exist, orthodontists are able to treat periodontally compromised patients who were previously deemed untreatable (Figure 3 and Figure 4). These patients not only are able gain a beautiful esthetic result, but their periodontal health can also be markedly improved.

Referral Methods

While the issues of when and why to refer patients to an orthodontist are often discussed in dental school and in the literature, the proper way to effectively communicate the importance of an orthodontic referral is often overlooked. The dentist and dental hygienist are in the best position to inform patients about the many health risks associated with malocclusion. It is not uncommon to hear that a patient or a parent is “not interested in orthodontics,” as if this were a purely elective cosmetic procedure with no long-term repercussions on overall dental and systemic health. This leads one to question whether such referrals are presented as mere suggestions or as a procedure that is necessary, as would be the case for patients referred to an endodontist for a root canal on an abscessed tooth. Only when the serious negative consequences of ignoring a developing malocclusion in children, or a pre-existing one in adolescents and adults, are explained in detail can patients and/or their parents be expected to regard the referral as imperative. In addition, repeated follow-up at subsequent visits is needed if a referral is ignored.

Teamwork: Oral Hygiene During Active Orthodontic Treatment

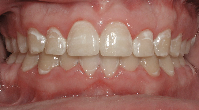
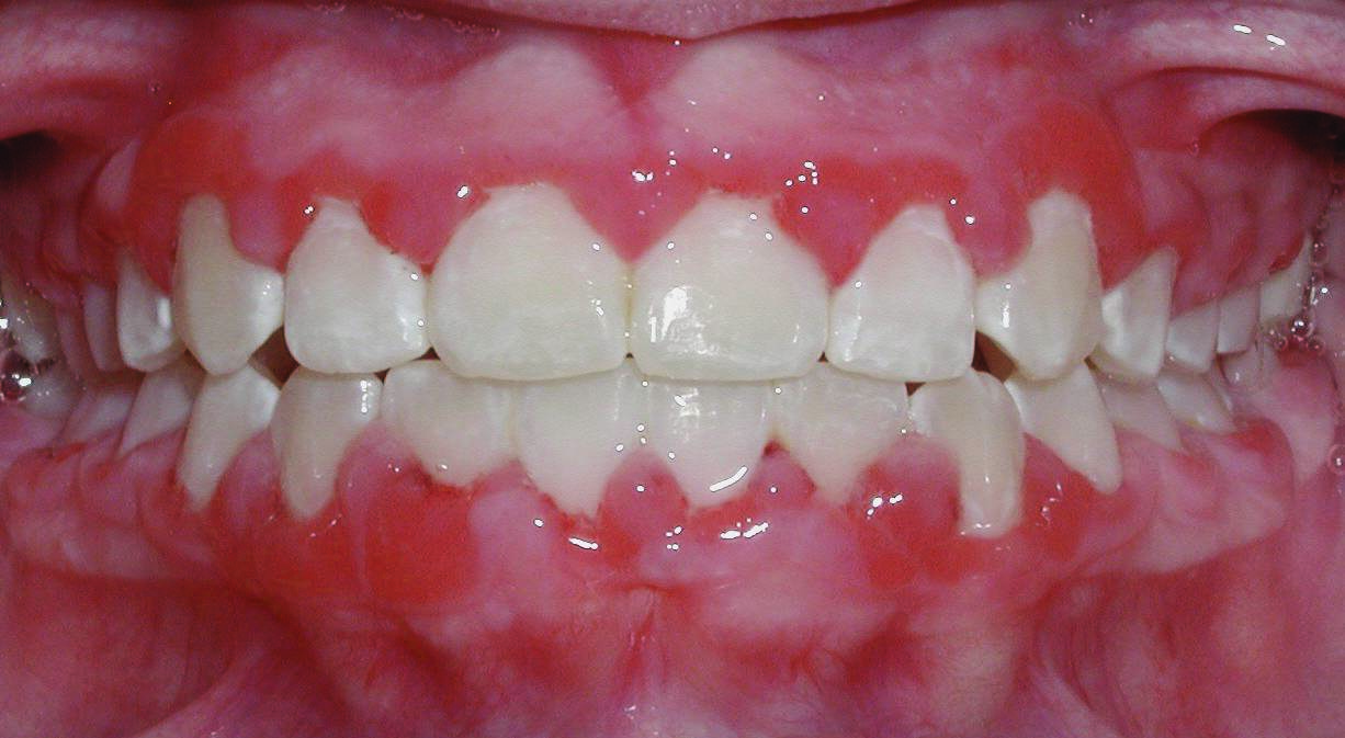
Two preventable sequelae of poor oral hygiene in orthodontic patients are gingival inflammation (Figure 5) and enamel decalcification, commonly known as white-spot lesions (Figure 6). Individuals undergoing orthodontic treatment are at a higher risk for white-spot lesions,3-7 and decalcification has been reported in 50% or more of teeth treated with fixed orthodontic appliances.3,6

Studies have shown that fixed orthodontic brackets influence the accumulation of plaque and the colonization of bacteria, resulting in increased inflammation and bleeding.8-10 These bacteria are also more prevalent in gingivitis sites with orthodontic appliances compared to gingivitis sites without orthodontic appliances.9 In addition, tooth movement has been shown to increase the levels of interleukin-β (IL-β) and tumor necrosis factor-alpha (TNF-α), which can up-regulate the inflammatory process, thus producing sustained levels of gingivitis.10

Motivating patients to properly and thoroughly clean their teeth can be a difficult endeavor that may be even more so when orthodontic appliances are added to the equation. General dentists and orthodontists must consider the following factors when determining the optimal oral hygiene regimen for their patients.

Is Tooth Brushing Enough?

While tooth brushing is the first line of defense in removing biofilm from the supragingival surfaces of teeth, it alone is not sufficient enough to achieve optimal oral hygiene. Research has shown that people tend to brush the same way every time for an average of 50 seconds and spend only 10% of that time on the lingual surfaces.11,12 Recently, a systematic review initiated to evaluate the plaque biofilm removal from a single episode of manual brushing reported an average reduction of only 43%.12 An earlier study showed that no more than 60% of the overall plaque was removed at each brushing, and repeated brushings did not increase the plaque removal.11 This means that even if a patient’s tooth brushing regimen and technique are ideal—which is rarely the case, especially in the orthodontic population—at most, only 60% of plaque will likely be removed.

Many orthodontists and general dentists have assumed that a power toothbrush is the answer to overcoming some of the shortcomings of manual brushing, but what does the literature say? Power toothbrushes have been studied extensively in subjects without orthodontic appliances and have shown beneficial results for supragingival plaque removal and inflammation compared to manual brushes.13-15 A systematic review showed that the oscillating-rotating action demonstrated 7% better plaque removal and 17% better reduction in gingivitis compared to manual toothbrushes.16 Some power toothbrushes have been studied with orthodontic patients with mixed results; some showed efficacy17,18 and others showed no benefit.19-22 A meta-analysis on the effectiveness of power toothbrushes compared to manual toothbrushes for orthodontic patients included five trials, and the authors concluded that there was insufficient evidence to support a claim of increased efficacy for power toothbrushes.23

Interdental Cleaning

Research shows poor compliance with interdental cleaning in people who are not undergoing orthodontic treatment, thus it is likely to be worse among those in orthodontic appliances. A recent systematic review concluded that dental professionals should determine on an individual basis whether or not high-quality flossing is an achievable goal; it also concluded that routine instruction to use floss is not supported by scientific research.24 Realistic expectations of flossing should be considered and alternatives discussed with the patient or parent.

Other devices are available to patients that have demonstrated similar or even superior results compared to flossing.25-30 Water flossers, also known as dental water jets or oral irrigators, have been studied extensively and have been shown to significantly reduce bleeding, gingivitis, plaque, probing pocket depth, and pro-inflammatory mediators such as IL-β and prostaglandin E2.28-34 A water flosser uses a controlled combination of pressure and pulsations to access the interdental and subgingival areas around the tooth in order to remove biofilm and flush out pathogenic bacteria (Figure 7). An ex-vivo study showed that under scanning electron microscope (SEM), a 3-second application at medium pressure could remove 99.9% of plaque (Figure 8 and Figure 9).34 Additionally, three studies have shown water flossing to be more effective than floss in reducing gingival inflammation.28-30 Specifically for orthodontic patients, it was shown to remove three times as much plaque and to reduce bleeding 26% more than dental floss.30 Of the 11- to 17-year-olds in the study who used the water flosser, 92% stated that it was easy to use and they would continue to use it either every day or frequently (Figure 10 and Figure 11).

Motivating Patients

For many orthodontic patients, having healthy teeth and gums does not seem to be enough of an incentive to care properly for their mouths. Many patients today, however, are motivated by reward for good behavior, and, therefore, orthodontic offices have instituted various types of rewards programs. For years, practices have used coin- or token-based reward systems to encourage positive patient behaviors such as not breaking appliances, showing up for appointments on time, getting good grades in school, and wearing their elastics. More recently, many practices have taken their rewards programs into the digital age, using “credit card”-based systems. Such programs can be used to improve home care as well, rewarding good oral hygiene. That is, patients who show up for their appointment with clean teeth and appliances can receive an initial reward and become eligible to receive additional rewards for staying current with their dental visits and maintaining the aforementioned positive behaviors.

Orthodontists may believe their patients are returning to their general practitioner for routine visits every 6 months, but it is difficult to know this for sure. Likewise, while an orthodontic management system may inform orthodontists when it has been 6 months since a patient’s last dental visit and send a reminder to the patient and parent, the practitioner cannot be certain the patient actually went. For this reason, instituting an incentive program is highly advisable. In this type of program, patients due for a dental visit can be given a card to take back to their general dental team at their upcoming visit which both the dentist and the hygienist sign, indicating the date that the patient was seen. Patients then return this card to the orthodontist at their next visit in exchange for a reward from the aforementioned incentive program. Additionally, the dental office can then become eligible for “rewards,” hence a “win-win” for all parties.

Safeguarding the Orthodontic Outcome

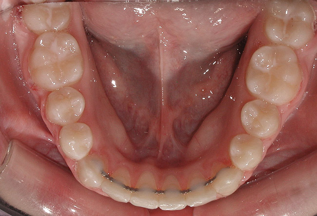
Once active orthodontic treatment is successfully completed, it is the responsibility of both the orthodontic and dental teams to help patients safeguard this life-changing investment. It was once believed that after a certain period of time, a properly treated orthodontic result would remain stable for a lifetime. However, based on current knowledge and research, most orthodontists are advocating some sort of lifetime retention for their patients. In patients whose oral hygiene was good during orthodontic treatment, a common method of “lifetime” retention involves the use of “bonded” retainers (Figure 12). In addition, most offices recommend that removable retainers be worn at least two nights per week indefinitely. Most orthodontists continue to follow their patients for a period of between 2 or 3 months to up to 3 years after active treatment is complete. However, it is vitally important that the communication between the dental office and the orthodontic office continue in order to safeguard the orthodontic result. Since orthodontic patients should be returning to their dentist at least every 6 months, the dentist and hygienist should help to encourage them to wear their retainers. In addition, if relapse is noted, it is important that the dental team recommend that these patients return to their orthodontist as soon as possible for an evaluation.

Summary

Collaboration and communication between the general dentist and the orthodontist is vitally important at all stages of the orthodontic journey. Without a proper and timely referral, a potentially devastating orthodontic problem could be missed. Once orthodontic treatment commences, it is the responsibility of both the orthodontic team and the dental team to work with patients (and with each other) to help them properly and effectively clean their teeth and appliances to avoid a variety of complex and unsightly complications. Finally, this team effort cannot end when these patients finish active orthodontic treatment, as all members of the dental and orthodontic teams must continue to work together to monitor the lifetime retention recommended by many orthodontic specialists.

Disclosure

The author received honoraria from Water Pik, Inc. The images for Figure 7 through Figure 11 are courtesy of Water Pik, Inc., Fort Collins, CO.

References

1. American Association of Orthodontists. Your Child’s First Orthodontic Checkup: No Later Than Age 7 [brochure]. 2008:1-4. www.aaomembers.org/Resources/upload/Your_Childs_First_Checkup-l.pdf. Accessed February 22, 2013

2. Proffit WR, Fields HW, Sarver DM. Contemporary Orthodontics. 5th ed. St. Louis, MO: Elsevier; 2013:11-18.

3. Richter AE, Arruda AO, Peters MC, Sohn W. Incidence of caries lesions among patients treated with comprehensive orthodontics. Am J Orthod Dentofacial Orthop. 2011;139(5):657-664.

4. Enaia M, Bock N, Ruf S. White-spot lesions during multibracket appliance treatment: A challenge for clinical excellence. Am J Orthod Dentofacial Orthop. 2011;140(1):e17-e24.

5. Zimmer BW, Rottwinkel Y. Assessing patient-specific decalcification risk in fixed orthodontic treatment and its impact on prophylactic procedures. Am J Orthod Dentofacial Orthop. 2004;126(3):318-324.

6. Ogaard B. Prevalence of white spot lesions in 19-year-olds: a study on untreated and orthodontically treated persons 5 years after treatment. Am J Orthod Dentofacial Orthop. 1989;96(5):423-427.

7. Gorelick L, Geiger AM, Gwinnett AJ. Incidence of white spot formation after bonding and banding. Am J Orthod. 1982;81(2):93-98.

8. Lee SM, Yoo SY, Kim HS, et al. Prevalence of putative periodontopathogens in subgingival dental plaques from gingivitis lesions in Korean orthodontic patients. J Microbiol. 2005;43(3):260-265.

9. Naranjo AA, Triviño ML, Jaramillo A, et al. Changes in the subgingival microbiota and periodontal parameters before and 3 months after bracket placement. Am J Orthod Dentofacial Orthop. 2006;130(3):275.e17-e22.

10. Başaran G, Ozer T, Kaya FA, et al. Interleukin-1beta and tumor necrosis factor-alpha levels in the human gingival sulcus during orthodontic treatment. Angle Orthod. 2006;76(5):830-836.

11. Claydon NC. Current concepts in toothbrushing and interdental cleaning. Periodontol 2000. 2008;48:10-22.

12. van der Weijden F, Slot DE. Oral hygiene in the prevention of periodontal diseases: the evidence. Periodontol 2000. 2011;55(1):104-123.

13. Warren PR, Cugini M, Marks P, King DW. Safety, efficacy and acceptability of a new power toothbrush: a 3-month comparative clinical investigation. Am J Dent. 2001;14(1):3-7.

14. Ainamo J, Xie Q, Ainamo A, Kallio P. Assessment of the effect of an oscillating/rotating electric toothbrush on oral health. A 12-month longitudinal study. J Clin Periodontol. 1997;24(1):28-33.

15. van der Weijden GA, Timmerman MF, Reijerse E, et al. The long-term effect of an oscillating/rotating electric toothbrush on gingivitis. An 8-month clinical study. J Clin Periodontol. 1994;21(2):139-145.

16. Robinson PG, Deacon SA, Deery C, et al. Manual versus powered toothbrushing for oral health. Cochrane Database Syst Rev. 2005;18(2):CD002281.

17. Borutta A, Pala E, Fischer T. Effectiveness of a powered toothbrush compared with a manual toothbrush for orthodontic patients with fixed appliances. J Clin Dent. 2002;13(4):131-137.

18. Silvestrini Biavati A, Gastaldo L, Dessi M, et al. Manual orthodontic vs. oscillating-rotating electric toothbrush in orthodontic patients: a randomised clinical trial. Eur J Paediatr Dent. 2010;11(4):200-202.

19. Heasman P, Wilson Z, Macgregor I, Kelly P. Comparative study of electric and manual toothbrushes in patients with fixed orthodontic appliances. Am J Orthod Dentofacial Orthop. 1998;114(1):45-49.

20. Thienpont V, Dermaut LR, Van Maele G. Comparative study of 2 electric and 2 manual toothbrushes in patients with fixed orthodontic appliances. Am J Orthod Dentofacial Orthop. 2001;120(4):353-360.

21. Costa MR, Silva VC, Miqui MN, et al. Efficacy of ultrasonic, electric and manual toothbrushes in patients with fixed orthodontic appliances. Angle Orthod. 2007;77(2):361-366.

22. Trimpeneers LM, Wijgaerts IA, Grognard NA, et al. Effect of electric toothbrushes versus manual toothbrushes on removal of plaque and periodontal status during orthodontic treatment. Am J Orthod Dentofacial Orthop. 1997;111(5):492-497.

23. Kaklamanos EG, Kalfas S. Meta-analysis on the effectiveness of powered toothbrushes for orthodontic patients. Am J Orthod Dentofacial Orthop. 2008;133(2):187.e1-e14.

24. Berchier CE, Slot DE, Haps S, van der Weijden GA. The efficacy of dental floss in addition to a toothbrush on plaque and parameters of gingival inflammation: a systematic review. Int J Dent Hyg. 2008;6(4):265-279.

25. Slot DE, Dörfer CD, van der Weijden GA. The efficacy of interdental brushes on plaque and parameters of periodontal inflammation: a systematic review. Int J Dent Hyg. 2008;6(4):253-264.

26. Kleber CJ, Putt MS. Formation of flossing habit using a floss-holding device. J Dent Hyg. 1990;64(3):140-143.

27. Shibly O, Ciancio SG, Shostad S, et al. Clinical evaluation of automatic flossing device vs. manual flossing. J Clin Dent. 2001;12(3):63-66.

28. Barnes CM, Russell CM, Reinhardt RA, et al. Comparison of irrigation to floss as an adjunct to toothbrushing: effect on bleeding, gingivitis, and supragingival plaque. J Clin Dent. 2005;16(3):71-77.

29. Rosema NA, Hennequin-Hoenderdos NL, Berchier CE, et al. The effect of different interdental cleaning devices on gingival bleeding. J Int Acad Periodontol. 2011;13(1):2-10.

30. Sharma NC, Lyle DM, Qaqish JG, et al. Effect of a dental water jet with orthodontic tip on plaque and bleeding in adolescent patients with fixed orthodontic appliances. Am J Orthod Dentofacial Orthop. 2008;133(4):565-571.

31. Cutler CW, Stanford TW, Abraham C, et al. Clinical benefits of oral irrigation for periodontitis are related to reduction of pro-inflammatory cytokine levels and plaque. J Clin Periodontol. 2000;27(2):134-143.

32. Newman MG, Cattabriga M, Etienne D, et al. Effectiveness of adjunctive irrigation in early periodontitis: multi-center evaluation. J Periodontol. 1994;65(3):224-229.

33. Flemmig TF, Epp B, Funkenhauser Z, et al. Adjunctive supragin-
gival irrigation with acetylsalicylic acid in periodontal supportive therapy. J Clin Periodontol. 1995;22(6):427-433.

34. Cobb CM, Rodgers RL, Killoy WJ. Ultrastructural examination of human periodontal pockets following the use of an oral irrigation device in vivo. J Periodontol. 1988;59(3):155-163.

Related Content:

For more information, read Is Gingival Recession a Consequence of an Orthodontic Tooth Size and/or Tooth Position Discrepancy? at dentalaegis.com/go/cced366

About the Author

Daniel Bills, DMD, MS
Diplomate, American Board of Orthodontics
Private Practice in Orthodontics
Sicklerville, New Jersey

Clinical Associate
University of Pennsylvania
Department of Orthodontics
Philadelphia, Pennsylvania

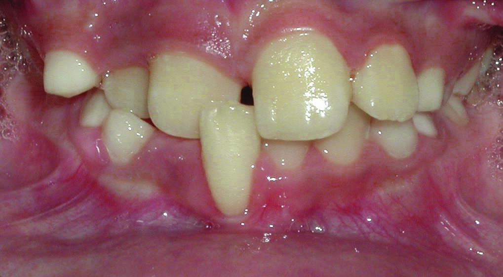
Figure 1 A 9-year-old patient with an untreated anterior crossbite exhibiting severe and irreversible gingival recession.

Figure 1

Figure 2 A 10-year-old patient with excessive overjet who fractured a protruding maxillary incisor.

Figure 2

Figure 3 “Before” photograph of an adult patient with significant periodontal disease and recession with some teeth that historically might have been considered “hopeless.”

Figure 3

Figure 4 “After” photograph of the same patient in Fig 3 showing the significant benefit of orthodontic treatment on the health of the teeth and gums.

Figure 4

Figure 5 Generalized severe gingivitis in a patient with poor oral hygiene immediately after fixed appliance removal.

Figure 5

Figure 6 Post-orthodontic white-spot lesions in a patient with poor oral hygiene.

Figure 6

Figure 7 The impact zone is where the pulsating wa-ter from a water flosser initially hits the tooth at the gingival margin, and the flushing zone is the penetration into the sulcus or pocket.

Figure 7

Figure 8 Biofilm on tooth. SEM of a tooth surface with extensive growth of biofilm composed of fusiform bacteria and cocci.

Figure 8

Figure 9 Tooth surface post treatment with a water flosser for 3 seconds on medium pressure. Note the clean tooth surface.

Figure 9

Figure 10 Specialized orthodontic tip with tapered bristles. Tip is used to deliver pulsating lavage to clean interdentally, subgingivally, and on the tooth surfaces (Fig 10). Bristles can be used to clean and brush around the brackets and archwires while flushing debris (Fig. 11).

Figure 10

Figure 11 Specialized orthodontic tip with tapered bristles. Tip is used to deliver pulsating lavage to clean interdentally, subgingivally, and on the tooth surfaces (Fig 10). Bristles can be used to clean and brush around the brackets and archwires while flushing debris (Fig. 11).

Figure 11

Figure 12 Patient with a bonded retainer on the lower anterior teeth for “lifetime” retention.

Figure 12

Table 1

Table 1

CREDITS: 0
AGD CODE: 370 - Orthodontics
COST: $0
PROVIDER: Conexiant Education
SOURCE: Compendium of Continuing Education in Dentistry | December 2019

Learning Objectives:

  • discuss the importance of the timing and technique involved with the initial orthodontic referral
  • detail a team-oriented approach to achieving proper oral hygiene for the orthodontic patient
  • explain the role of the entire dental team in ensuring lifetime retention to safeguard the final orthodontic result

Disclosures:

The author received honoraria from Water Pik, Inc. The images for Figure 7 through Figure 11 are courtesy of Water Pik, Inc., Fort Collins, CO.

Queries for the author may be directed to justin.romano@broadcastmed.com.