Periodontitis and Rheumatoid Arthritis: Epidemiologic, Clinical, and Immunologic Associations

Irene Smolik, PhD; David Robinson, MD; and Hani S. El-Gabalawy, MD

January 2015 RN - Expires Wednesday, January 31st, 2018

Inside Dental Hygiene

Abstract

THE PURPOSE OF REVIEW: Rheumatoid arthritis (RA) is a prevalent autoimmune-mediated, chronic inflammatory disorder that has been found in multiple epidemiologic studies to be associated with periodontal disease (PD). Despite the extensive epidemiologic evidence, the biologic basis of this association remains unclear. This article focuses on new insights into the potential mechanisms underlying the association between PD and RA. RECENT FINDINGS: Chronic periodontal and synovial inflammation share many common pathologic, cellular, and molecular features. In particular, the mechanisms involved in the destruction of the adjacent connective tissues are quite similar. Recent studies have shown anti-citrullinated protein antibodies (ACPA) that are highly specific for RA are detectable years before disease development. Emerging evidence suggests the oral pathogen porphymonas gingivalis may serve to break immune tolerance or amplify autoimmune responses to citrullinated antigens and, in turn, ultimately initiate RA in genetically susceptible persons. SUMMARY: Recognition of the association between RA and PD on both a clinical and biologic level may provide new opportunities for intervention that will modify the course of both of these prevalent chronic inflammatory disorders. Furthermore, an enhanced understanding of the early events that initiate RA may result in strategies that prevent disease-onset.

You must be signed in to read the rest of this article.

Login Sign Up

Registration on CDEWorld is free. You may also login to CDEWorld with your DentalAegis.com account.

Research during the last decade has produced mounting support for a link between patients’ oral health status and overall systemic health. In particular, a number of prevalent and progressive chronic diseases, including diabetes mellitus, inflammatory bowel disease, cardiovascular disease, and rheumatoid arthritis, appear to be epidemiologically associated with the presence of periodontal disease (PD).1-5 However, despite this wealth of epidemiologic evidence, the biologic basis for these associations remains uncertain.

In this article, the authors address the question of how PD and rheumatoid arthritis (RA) might be related. Because informative reviews have recently been published on this topic,1,6 this article focuses specifically on immunologic mechanisms that potentially underlie this association. Ultimately, an understanding of these mechanisms may lead to effective new therapies for both disorders.

How Are Periodontal Disease and Rheumatoid Arthritis Associated?

PD is one of the most common chronic inflammatory disorders in humans1,7 and caused by gram-negative anaerobic bacteria that occupy the tooth-associated biofilm or microbial plaque in subgingival sites. The clinical spectrum is wide and ranges from mild gingivitis to progressive destructive periodontitis.8 Its reported prevalence in adult populations also is extensive, ranging from 8% to 60%. The World Health Organization reports 15% of adults worldwide have advanced PD (defined as a pocket depth of 6 mm or more).7,9

While bacteria are the primary etiologic agents for periodontitis, the tissue damage and progression associated with this chronic inflammatory process are dependent on complex cellular and molecular networks within the host, many of which are now known to be genetically regulated. Networks regulating innate and acquired immunity, inflammation, wound healing, and calcified tissue turnover all play a role in the pathogenesis and ultimate outcome of this disease. Recent insights suggest the up-regulation of the proinflammatory cytokines tumor necrosis factor-α (TNF-α) and interleukin-1β (IL-1β), which are primarily products of innate immune cells such as macrophages and neutrophils, play a key role in the chronic inflammatory lesion. These cytokines stimulate and activate resident fibroblasts in the periodontal tissues to produce matrix metalloproteinase (MMP) and other proteases, which degrade the surrounding connective tissue. These cytokines also are potent stimulators of local osteoclastogenesis, which leads to efficient degradation of adjacent calcified tissue in the teeth.10

RA is a chronic inflammatory arthritis affecting 1% of the North American population. RA involves the synovial membrane of multiple joints in the body. Although the early events in RA are not well understood, it is now known that the onset of clinically detectable disease in the joints is preceded by a variable period of “benign autoimmunity,” a period in which RA autoantibodies, such as rheumatoid factor (RF) and anti-citrullinated protein antibodies (ACPAs), are detectable in the serum.11,12 At some point, triggered by heretofore undefined environmental factors, the synovial membrane of one or more joints becomes inflamed. Whether the RA autoantibodies preceding joint disease actually play a role in triggering the synovial inflammation is a question that continues to be investigated. The reasons the immune/inflammatory response specifically targets the synovial membranes are also unclear. Over time, particularly if initiation of effective therapy is delayed, the inflammatory process becomes chronic and leads to the activation and proliferation of the synovial tissue in a process called pannus formation (Figure 1). As with the chronic inflammation of periodontitis, TNF-α, IL-1β, and other key proinflammatory cytokines play a key role in the activation, proliferation, and destructiveness of the synovial pannus.13 The proliferative pannus tissue attaches to the adjacent cartilage and bone, invading the connective tissue with mechanisms that are similar to those a tumor uses to invade tissue. The invasion and degradation of cartilage is mediated by matrix-degrading proteases, such as MMP.

Osteoclastogenesis is also a key destructive process in which osteoclast precursors found in the synovial membrane and the adjacent bone marrow are stimulated to form mature osteoclasts that “erode” adjacent periarticular bone. Ultimately, if the synovitis is not effectively controlled, this process completely destroys the articular cartilage and periarticular bone, causing severe deformity and functional loss (Figure 2). Untreated RA also is associated with a higher prevalence of cardiovascular disease. Although the joints are the primary site of the inflammatory process, the inflammation in RA can involve other organs, such as the skin, lungs, eyes, and salivary glands.

Unlike periodontitis, in which a bacterial etiology is well defined, a single specific etiology for RA has not been determined, despite extensive investigation during the past half century. The accepted model involves one or more environmental factors acting on a predisposing genetic background. For the past two decades, considerable progress has been made in understanding the genetic risk and environmental factors that might interact with it. This understanding is beginning to provide important insights that ultimately may lead to preventive strategies.

The major genetic risk for RA is now well known to reside in the human leukocyte antigen (HLA) locus, which is a cluster of genes that serves to shape adaptive immune responses mediated by T cells. In RA, the strongest association is with the major histocompatibility complex, class II, DRβ1 (HLA-DRβ1) gene. This highly polymorphic gene encodes for a cell surface molecule expressed prominently on antigen presenting cells, such as dendritic cells, macrophages, and B cells. This molecule mediates peptide antigen presentation to T cells, thus activating them to respond to these antigens. Several variants of HLA-DRβ1 have been shown to be associated with RA.14-16 Intriguingly, the same variants also are associated with periodontitis.17,18 The association resides in a key segment of five key amino acids situated in the side wall of the HLA-DRβ1 molecule (Figure 3). This sequence has been named the shared epitope (SE), and disease susceptibility requires the presence of the positively charged amino acids arginine or lysine in position 71 of the HLA-DRβ1 molecule. This positively charged motif appears to facilitate the presentation of peptides containing the amino acid citrulline to T cells.18-23 The amino acid citrulline is generated by an enzymatic modification of the amino acid arginine by a family of enzymes called peptidylarginine deiminase (PADs). Citrullination plays a physiologic role in the regulation of protein folding and degradation and is prominently involved in processes such as cornification of the skin. Thus the generation of citrullinated peptides is certainly not unique to RA, but the development of antibody responses to citrullinated peptides is quite specific to RA. These are the ACPA autoantibodies; their specificity for RA has been demonstrated in multiple studies in populations worldwide.24,25 The demonstration that the disease predisposing SE encoding alleles serve to facilitate the presentation of citrullinated peptides to T cells and, in turn, promote the generation of ACPA has been a major step forward in the understanding of RA pathogenesis and the genetic basis for this disease.17,18 Indeed, several studies have shown a close association between carriage of SE alleles and the presence of ACPA in patients with RA.26 In even more exciting recent developments, studies of banked serum from individuals who subsequently developed RA have shown the presence of ACPA in combination with carriage of SE alleles imparted a 66-fold increased risk for future disease development.27 These studies have provided an important impetus for achieving a better understanding of the preclinical “benign autoimmunity” stage of the disease, in which environmental factors may stimulate the development of ACPA or the amplification of these autoantibodies, which ultimately leads to the development of RA.

It has recently been hypothesized that one such environmental factor that could potentially play a role in breaking tolerance to citrullinated autoantigens, in a genetically susceptible host, is porphymonas gingivalis, a gram-negative anaerobic rod, one of the major pathogens associated with periodontal disease.5,17 P gingivalis is the only pathogen known to express the PAD enzyme and is capable of citrullinating terminal arginine residues on peptides.18 Thus, it is possible that the presence of this bacterium in chronically inflamed periodontal tissue may lead to the local generation of citrullinated peptides. In such a chronic inflammatory oral lesion, presentation of citrullinated antigens to T cells by local antigen presenting cells would be facilitated by a microenvironment rich in proinflammatory cytokines, such as TNF-α and IL-1β, which serve to stimulate and accelerate this process. In turn, through a process of molecular mimicry, the immune response would be directed toward other homologous citrullinated human autoantigens and become progressively amplified and evolved. A study showed one such candidate antigen is the ubiquitous enzyme enolase, the citrullinated form of which has been identified as an autoantigen in RA.28 Moreover, the same group of researchers has shown the human enzyme and the bacterial enzyme have striking homology in the immunodominant epitopes recognized by the immune system. These studies provide a conceptual framework around which chronic periodontitis, caused by P gingivalis, could be involved in the initiation of the autoimmune processes that precede the onset of RA.

Clinical Evidence for an Association between RA and PD

Several clinical studies have shown an association between RA and periodontal disease.5 The largest of these studies examined data from the Third National Health and Nutrition Examination Survey (NHANES III). This is a nationally representative cross-sectional survey of the noninstitutionalized civilian US population, which includes home interviews and medical and dental examinations performed by physicians and dentists, respectively, in a mobile examination center. In total, 4461 individuals had both detailed musculoskeletal and comprehensive dental examinations.

Investigators found 103 individuals with RA, as defined by American College of Rheumatology classification criteria, and 658 people with PD. Those with RA had a higher rate of periodontitis (odds ratio [OR] 4.13) than people without RA, independent of age, race/ethnicity, sex, and smoking. Interestingly, RA was associated with an almost 2-fold increase in the odds of PD, particularly strong for those with seropositive RA.

Why is PD higher in patients with RA? Both diseases share common risk factors, such as age and smoking. Patients with RA might be less likely to obtain dental care. However, in the previously noted study population, there was no difference in the frequency of dental care among people with periodontitis and those without periodontitis (among dentate participants with RA).

Temporomandibular joint involvement, severe hand dysfunction (caused by arthritis), decreased saliva from secondary Sjögren’s syndrome, and the use of chronic corticosteroids all impact oral health of patients with RA. Indeed, the NHANES III study also showed a significantly higher rate of tooth loss in patients with RA, only some of which is explained by periodontitis.

Smoking is strongly associated with PD.6,15,29-32 Smoking also increases the risk of developing RA and acts with genetic factors to strongly increase the likelihood. The risk of developing RA for people who smoke compared with those who do not ranges from OR 1.7 to 2.4 when smoking alone is studied. Epidemiologic studies from Sweden suggest those who smoked and had two copies of the HLA SE had a 16-fold increased risk compared with people who are SE-negative and do not smoke. This association is limited to patients with RA who are seropositive for ACPA.30

Studies of RA in Indigenous North American Native Populations

The North American Native (NAN) population offers a unique perspective from which to study the development of RA and its association with PD. RA has been documented in multiple pre-Columbian North American populations and may have originated in these individuals.33 Prevalence rates for RA in the NAN population vary from 2.2% to 5%, which is significantly higher than what is reported in Caucasians. The NAN population has a high prevalence of SE; in the authors’ Canadian cohort of First Nations People, rates of smoking were twice that of the general Canadian population. Rates of PD were increased in Pima Indians, a population with a high prevalence of RA.24 The rate of periodontitis in many Canadian communities has not been reported; however, early childhood caries and poor overall oral health are major problems in several First Nation communities.34-36

Investigators at the University of Manitoba have collected much data from a large cohort of NAN patients with RA, as well as information about their unaffected first-degree relatives (FDRs). Given a shared genetic and environmental background, which includes high rates of smoking, it is expected that a small but significant proportion of FDR will develop RA. Subsequently, this can provide unique insight into the pathogenesis of RA and its relation to periodontitis.

Using this Cree and Ojibway population, the authors of this article have measured rheumatoid factor (RF), ACPA, and immunoglobulin G (IgG) antibody responses to P gingivalis lipopolysaccharide in FDRs and patients with RA. RF and ACPA were each present in 15% to 20% of unaffected FDRs, suggesting a subpopulation at higher risk for developing RA.37 Interestingly, only 5% of the FDRs were positive for both RF and ACPA, suggesting these potentially predisposing autoantibodies may develop because of separate processes. NAN with established RA tended toward higher levels of anti-P gingivalis antibodies than the unaffected FDRs. More importantly, in unaffected FDRs, the anti-P gingivalis levels were significantly higher in ACPA-positive than in ACPA-negative individuals.38 In contrast, no clear association was noted between the presence of RF and exposure to P gingivalis in FDRs. RF autoantibody was associated with immune responses to Proteus mirabilis and Escherichia coli.39

In a proposed model based on these observations (Figure 4), PD is an important, potentially modifiable risk factor for the development of RA. To further explore this hypothesis, a community-wide screening of unaffected NAN population is underway. That research is assessing the presence of significant PD, non-HLA genetic predispositions, and the association of RA autoantigens. Long-term follow-up of these individuals will allow for detection of RA at disease-onset and may help clarify the potential role of PD in the development of RA.

Conclusion

RA and PD share many similarities in their pathogenesis. The chronic inflammatory lesion that characterizes both of these disorders leads to strikingly similar consequences to the surrounding calcified and soft tissues. The clinical association between these two disorders, now demonstrated in several populations, is complex and may relate to a number of biologic factors, particularly shared genetic risk. An emerging understanding of the preclinical immune mechanisms that are involved in the development of the autoimmunity that leads to RA may be pointing toward the oral cavity as a major battleground. If PD proves to be a key element in breaking immune tolerance to citrullinated antigens, this offers important opportunities for intervention, both in terms of dental procedures and tolerance-inducing immunologic manipulations. These interventions ultimately may lead to the prevention of RA in susceptible individuals.

References

1. Bartold PM, Marshall RI, Haynes DR. Periodontitis and rheumatoid arthritis: a review. J Periodontol. 2005;76(suppl 11):2066-2074.

2. de Pablo P, Dietrich T, McAlindon TE. Association of periodontal disease and tooth loss with rheumatoid arthritis in the US population. J Rheumatol. 2008;35(1):70-76.

3. Genco R, Offenbacher S, Beck J. Periodontal disease and cardiovascular disease: epidemiology and possible mechanisms. J Am Dent Assoc. 2002;133(suppl):14S-22S.

4. Grössner-Schreiber B, Fetter T, Hedderich J, et al. Prevalence of dental caries and periodontal disease in patients with inflammatory bowel disease: a case-control study. J Clin Periodontol. 2006;33(7):478-484.

5. Pischon N, Pischon T, Kröger J, et al. Association among rheumatoid arthritis, oral hygiene, and periodontitis. J Periodontol. 2008;79(6):979-986.

6. Heasman L, Stacey F, Preshaw PM, et al. The effect of smoking on periodontal treatment response: a review of clinical evidence. J Clin Periodontol. 2006;33(4):241-253.

7. Williams RC. Periodontal disease. N Engl J Med. 1990;322(6):373-382.

8. Ruby J, Goldner M. Nature of symbiosis in oral disease. J Dent Res. 2007;86(1):8-11.

9. Petersen PE, Ogawa H. Strengthening the prevention of periodontal disease: the WHO approach. J Periodontol. 2005;76 (12):2187-2193.

10. Cochran DL. Inflammation and bone loss in periodontal disease. J Periodontol. 2007;79(suppl 8):1569-1576.

11. Rantapää-Dahlqvist S, de Jong BAW, Berglin E, et al. Antibodies against cyclic citrullinated peptide and IgA rheumatoid factor predict the development of rheumatoid arthritis. Arthritis Rheum. 2003;48(10):2741-2749.

12. Nielen MM, van Schaardenburg D, Reesink HW, et al. Specific autoantibodies precede the symptoms of rheumatoid arthritis: a study of serial measurements in blood donors. Arthritis Rheum. 2004;50(2):380-386.

13. Firestein GS. Evolving concepts of rheumatoid arthritis. Nature. 2003;423(6937):356-361.

14. Marotte H, Farge P, Gaudin P, et al. The association between periodontal disease and joint destruction in rheumatoid arthritis extends the link between the HLA-DR shared epitope and severity of bone destruction. Ann Rheum Dis. 2006;65(7):905-909.

15. Mattey DL, Dawes PT, Clarke S, et al. Relationship among the HLA-DRβ1 shared epitope, smoking, and rheumatoid factor production in rheumatoid arthritis. Arthritis Rheum. 2002;47(4):403-407.

16. Council SC. A gene-environment interaction between smoking and shared epitope genes in HLA-DR provides a high risk of seropositive rheumatoid arthritis. Arthritis Rheum. 2004;50(10):3085-3092.

17. Ogrendik M, Kokino S, Ozdemir F, et al. Serum antibodies to oral anaerobic bacteria in patients with rheumatoid arthritis. MedGenMed. 2005;7(2):2.

18. Rosenstein ED, Greenwald RA, Kushner LJ, et al. Hypothesis: the humoral immune response to oral bacteria provides a stimulus for the development of rheumatoid arthritis. Inflammation. 2004;28(6):311-318.

19. Hitchon CA, Alex P, Erdile LB, et al. A distinct multicytokine profile is associated with anti-cyclical citrullinated peptide antibodies in patients with early untreated inflammatory arthritis. J Rheumatol. 2004;31(12):2336-2346.

20. Klareskog L, Rönnelid J, Lundberg K, et al. Immunity to citrullinated proteins in rheumatoid arthritis. Annu Rev Immunol. 2008;26:651-675.

21. Lundberg K, Kinloch A, Fisher BA, et al. Antibodies to citrullinated alpha-enolase peptide 1 are specific for rheumatoid arthritis and cross-react with bacterial enolase. Arthritis Rheum. 2008;58(10):3009-3019.

22. Nibali L, D’Aiuto F, Donos N, et al. Association between periodontitis and common variants in the promoter of the interleukin-6 gene. Cytokine. 2009;45(1):50-54.

23. Nibali L, Ready DR, Parkar M, et al. Gene polymorphisms and the prevalence of key periodontal pathogens. J Dent Res. 2007;86(5):416-420.

24. Hirsch R, Lin JP, Scott WW Jr, et al. Rheumatoid arthritis in the Pima Indians: the intersection of epidemiologic, demographic, and genealogic data. Arthritis Rheum. 1998;41(8):1464-1469.

25. Templin DW, Boyer GS, Lanier AP, et al. Rheumatoid arthritis in Tlingit Indians: clinical characterization and HLA associations. J Rheumatol. 1994;21(7):1238-1244.

26. Tilleman K, Van Steendam K, Cantaert T, et al. Synovial detection and autoantibody reactivity of processed citrullinated isoforms of vimentin in inflammatory arthritides. Rheumatology (Oxford). 2008;47(5):597-604.

27. Berglin E, Padyukov L, Sundin U, et al. A combination of autoantibodies to cyclic citrullinated peptide (CCP) and HLA-DRβ1 locus antigens is strongly associated with future onset of rheumatoid arthritis. Arthritis Res Ther. 2004;6(4):R303-R308.

28. Kinloch A, Tatzer V, Wait R, et al. Identification of citrullinated alpha-enolase as a candidate autoantigen in rheumatoid arthritis. Arthritis Res Ther. 2005;7(6):R1421-R1429.

29. Krishnan E. Smoking, gender and rheumatoid arthritis-epidemiological clues to etiology. Results from the behavioral risk factor surveillance system. Joint Bone Spine. 2003;70(6):496-502.

30. Padyukov L, Silva C, Stolt P, et al. A gene-environment interaction between smoking and shared epitope genes in HLA-DR provides a high risk of seropositive rheumatoid arthritis. Arthritis Rheum. 2004;50(10):3085-3092.

31. Palmer RM, Wilson RF, Hasan AS, et al. Mechanisms of action of environmental factors—tobacco smoking. J Clin Periodontol. 2005;32(suppl 6):180-195.

32. Stolt P, Bengtsson C, Nordmark B, et al. Quantification of the influence of cigarette smoking on rheumatoid arthritis: results from a population based case-control study, using incident cases. Ann Rheum Dis. 2003;62(9):835-841.

33. Rothschild BM, Woods RJ, Rothschild C, et al. Geographic distribution of rheumatoid arthritis in ancient North America: implications for pathogenesis. Semin Arthritis Rheum. 1992;22(3):181-187.

34. Schroth RJ, Smith PJ, Whalen JC, et al. Prevalence of caries among preschool-aged children in a northern Manitoba community. J Can Dent Assoc. 2005;71(1):27.

35. Schroth RJ, Moore P, Brothwell DJ. Prevalence of early childhood caries in 4 Manitoba communities. J Can Dent Assoc. 2005;71(8):567.

36. Schroth RJ, Moffatt ME. Determinants of early childhood caries (ECC) in a rural Manitoba community: a pilot study. Pediatr Dent. 2005;27(2):114-120.

37. Ioan-Facsinay A, Willemze A, Robinson DB, et al. Marked differences in fine specificity and isotype usage of the anti-citrullinated protein antibody in health and disease. Arthritis Rheum. 2008;58(10):3000-3008.

38. Hitchon CA, Chandad F, Ferucci E, et al. Antibodies to P. gingivalis are associated with anti-citrullinated protein antibodies (ACPA) in RA patients and their relatives. Arthritis Rheum. 2008;58(suppl).

39. Newkirk MM, Goldbach-Mansky R, Senior BW, et al. Elevated levels of IgM and IgA antibodies to Proteus mirabilis and IgM antibodies to Escherichia coli are associated with early rheumatoid factor (RF)-positive rheumatoid arthritis. Rheumatology (Oxford). 2005;44(11):1433-1441.

40. El-Gabalawy H. The preclinical stages of RA: lessons from human studies and animal models. Best Pract Res Clin Rheumatol. 2009;23(1):49-58.

About the Authors

Irene Smolik, PhD, Research Associate, Division of Rheumatology, Department of Internal Medicine, University of Manitoba, Winnipeg, Manitoba, Canada

David Robinson, MDAssociate Professor of Medicine, University of Manitoba, Winnipeg, Manitoba, Canada

Hani S. El-Gabalawy, MD, Professor of Medicine and Immunology, University of Manitoba, Winnipeg, Manitoba, Canada

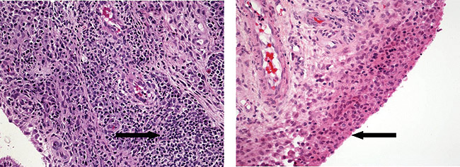
Figure 1   Early RA synovium. Lymphoid aggregates (left) and synovial lining cell hyperplasia (right).

Figure 1

Figure 2  Erosions and deformity of hands.

Figure 2

Figure 3  The HLA-DRb1 molecule. In positions 70 through 74 of this antigen presenting molecule is the QK(R)RAA sequence of amino acids that confers risk for RA. This positively charged sequence has been called the shared epitope because it is common to the HLA-DRb1 alleles associated with RA, likely on the basis of enhanced ability to present citrulline-containing peptides to T cells.

Figure 3

Figure 4  Conceptual framework for evolution of RA autoantibodies and disease-onset. Reprinted from Best Practice & Research Clinical Rheumatology40 with permission from Elsevier.

Figure 4

CREDITS: 0
AGD CODE: 490 - Periodontics
COST: $0
PROVIDER: Conexiant Education
SOURCE: Inside Dental Hygiene | January 2015

Learning Objectives:

After reading this article, the reader should be able to:

  • discuss the many similarities in the pathologies of rheumatoid arthritis and periodontal disease.
  • discuss how the chronic inflammatory process characteristic in rheumatoid arthritis development may contribute to periodontal disease.
  • explore the hypothesized reasons, such as smoking and medical comorbidities, that may account for the higher prevalence of periodontal disease in patients with rheumatoid arthritis.

Disclosures:

The author reports no conflicts of interest associated with this work.

Queries for the author may be directed to justin.romano@broadcastmed.com.